
上海奧法美嘉生物科技有限公司
鉆石會員
已認證

上海奧法美嘉生物科技有限公司
鉆石會員
已認證

1引言
ISO/TS 276871和ASTM E24562都將納米粒子定義為100nm及以下的粒徑,使其成為使用最廣泛的分類。由于科學和其他原因,不太嚴格的解釋擴大了上限范圍。現在許多大于100nm的納米材料通常被稱為納米顆粒。開發這種尺寸范圍的藥物產品的動機在于改善其溶出度/生物利用度、靶向性、系統中的循環時間和藥代動力學。
這些藥物的研究許多是為了增強靶向性而開發的。被動靶向方法通過減小尺寸并用諸如聚乙二醇(PEG)的涂層掩蓋納米顆粒來增加循環時間。主動靶向方法改變納米顆粒的表面以尋找并粘附于身體的特定部位,同時避免健康組織,例如癌癥腫瘤。可以添加納米顆粒表面上的細胞特異性配體以特異性結合互補受體。
Nicomp 3000系列納米粒度儀(圖1)是用于測量藥物遞送的納米顆粒粒徑和zeta電位(表面電荷)的理想儀器。

2納米粒子的類型
納米晶體
活性藥物成分(API)通常是結晶的。疏水性晶體可能難以配制成以親水性載體機制遞送。通過將尺寸減小到納米晶體范圍,納米膨脹可以提高藥物的生物利用度,其中溶解速度是限速步驟,例如水溶性差的藥物3。這些納米晶體通常需要使用表面活性劑或聚合物來穩定,包括在加工過程中。粒徑的減小通過增加表面積A(圖2)和飽和溶解度Cs來增加溶解速率。

Noyes-Whitney方程(方程1)顯示了A和Cs的增加將如何影響溶解速率dC/dt。
dC/dt=DA/Vh(Cs - Cx).......(方程1)
? dC/dt=溶出速率
? D=擴散系數
? A=表面積
? Cs=邊界層的濃度
? Cx=濃度API@給定時間
? V=體積溶解介質
? h=邊界層的高度
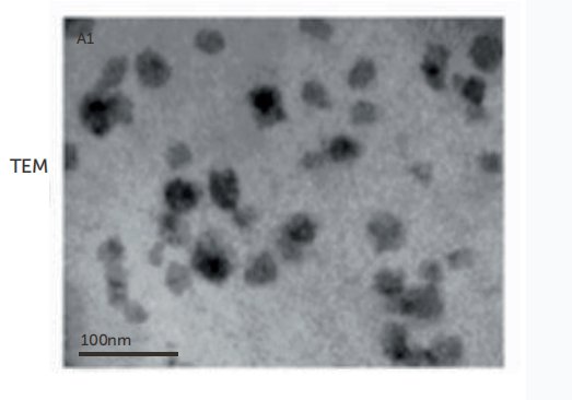
基于脂質的液晶納米顆粒(LCNP)是另一種能夠提高疏水性和親水性藥物的生物利用度的遞送系統。這些是通過將非層狀液晶基質進行高剪切能量分散到水相中制備的自組裝結構。LCNP的粒徑是需要適當分析和控制的重要物理化學性質。Nicomp3000系列納米粒度儀已成功用于確定LCNP分散體中的平均大小和聚集體的存在。4將紫杉醇加入LCNP分散體中并通過Nicomp3000系列納米粒度儀和TEM分析,參見圖3。



TEM圖像表示較小的近25nm顆粒和100nm范圍 內 的 較 大 顆 粒 的 雙 峰 粒 度 分 布 。較 高 的Nicomp結果是高斯強度分布平均值迫使整個分布成為一個峰值。較低的Nicomp結果利用專有的Nicomp非負最小二乘算法來報告更高的分辨本研究中使用的兩個樣品通過Nicomp3000系列納米粒度儀和TEM測試的粒度如圖5所示。非靶向膠束的數據顯示在左邊,靶向膠束顯示在右邊。DLS數據看起來略大于TEM圖像,這可能是由于在TEM分析之前水蒸發引起的PEG殼的縮。率和更準確地描述實際粒度分布的雙峰性質。突出了Nicomp3000系列納米粒度儀的一個主要優點?即使在濃度低至0.2mg/mL時也能解析多峰分布。
膠束
另一種增加疏水性藥物增溶作用的潛在藥物遞送系統是聚合物膠束。6當溶液中聚合物的濃度超過一定的臨界膠束濃度(CMC)時,就會形成膠束。聚合物膠束是由兩親性嵌段共聚物合成的核殼納米結構。膠束具有尺寸非常小(10?100 nm)的優點,可以改善對實體瘤的被動靶向。通過用配體修飾表面,聚合物膠束能夠進行位點特異的藥物遞送。
Nicomp3000系列納米粒度儀已被用于許多基于膠束的研究項目中的顆粒尺寸測量。7-12在一項研究中,12聚合物膠束是使用聚己內酯(PCL)和聚乙二醇(PEG)共聚物形成的。以多西他賽(DTX)為 模 型 藥 物,用 前列腺特異性膜抗原(SMLP)小分子配體修飾表面。圖4顯示了膠束的自組裝和藥物負載的最終結構的內吞過程。

本研究中使用的兩個樣品通過Nicomp3000系列納米粒度儀和TEM測試的粒度如圖5所示。非靶向膠束的數據顯示在左邊,靶向膠束顯示在右邊。DLS數據看起來略大于TEM圖像,這可能是由于在TEM分析之前水蒸發引起的PEG殼的收縮。




脂質體
脂質體是一種雙層囊泡,通常在制藥工業中用作將化療藥物輸送到腫瘤區域的藥物輸送系統。它們由磷脂組成,磷脂的極性末端連接到非極性鏈上,自組裝成雙層囊泡,極性末端面向水介質,非極性末端形成雙層。在藥物應用中,活性藥物成分(API)通常被摻入脂質體,或者被摻入親水口袋,或者被夾在雙層之間,這取決于API的親水性,見圖6。表面改性對于靶向遞送是常見的。

在處理脂質體時監測粒徑至關重要,Nicomp3000系列納米粒度儀經常用于此應用。13-20在Entegris的一項內部研究中,脂質體是使用3:1:1的HSPC、膽固醇和mPEG-DSP的配方制成的。樣品首先通過轉速7200rpm混合10分鐘,然后使用微射流均質機21搭配Y型腔采用25000psi的壓力制成脂質體。對樣品進行均質處理1次、3次、5次和10次,使其通過微流器。預混物和處理過的樣品的圖像(從左到右)如圖7所示。

脂質體樣品在Nicomp3000系列納米粒度儀和AccuSizer?系列液體顆粒計數器上進行分析。Nicomp用于確定加工過程中強度平均尺寸的減小,而AccuSizer(LE傳感器范圍0.5?400μm)用于量化分布中較大粒子尾部的存在。Nicomp檢測結果如圖8所示,AccuSizer檢測結果如圖9所示。


使用DLS來確定平均尺寸,使用SPOS來量化尾部的存在和濃度,這個搭配在許多行業中都能見到,是USP<729>脂質注射乳劑中球粒徑分布的一個組成部分。
用于過程監控的在線DLS
雖然絕大多數DLS檢測都是在實驗室進行的,但Entegris在客戶生產操作中安裝了多個設備,在生產工藝期間定期檢測顆粒尺寸。23這些設備已用于監測藥物輸送的納米顆粒制造過程中使用的高壓均質過程、稀釋樣品以避免造成多重散射效應、檢測樣品,然后重復該程序(見圖10)。整個測量周期約為兩分鐘,為監控生產工藝操作的工程師提供實時的粒度信息。

圖11顯示了作為高壓均質器下游壓力函數的在線DLS結果。目標是確定將顆粒尺寸保持在非常接近100nm尺寸的最佳壓力。在確定最佳壓力(~10000 psi)后,使用在線DLS系統來確保整個批次的生產符合規范。

3結論
Nicomp納米粒度儀廣泛用于研究、24-39質量釋放測試和過程監測中納米級藥物遞送系統的粒度和zeta電位分析。AccuSizer液體顆粒計數器提供了一種補充技術,用于確定較大顆粒的濃度,用于表明不穩定或未優化的配方或工藝條件。
最新動態
更多
虛擬號將在 秒后失效
使用微信掃碼撥號